Prof. Dr. med. Thomas Lingenfelser
Facharzt für Innere Medizin
Gastroenterologie und Endokrinologie

Internistische Schwerpunktpraxis Gastroenterologie am Klosterstern in Hamburg-Harvestehude

Willkommen
Termine
Praxis
Portrait
Leistungen
Aufklärung
Selbsthilfe
Kooperationen
Veranstaltungen
Kontakt
Datenschutz
Impressum





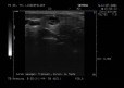
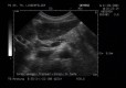
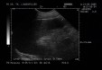
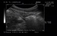
Transabdominelle Sonographie

Morbus Crohn Stenose im Ileozoekalbereich
Pathologische Kokkarden bei Dünndarmtuberkulose
Erweiterter Ductus wirsungianus des Pankreas
Splenomegalie bei CMV-Infektion
Fortgeschrittene Leberzirrhose bei HCV-Infektion
Zystischer Knoten apikal im linken Schilddrüsenlappen